SAHAR

Azeri
  • Canlı Yayım
  • Ana səhifə
  • Xəbərlər
  • Televiziya
  • Radio
  • Afghanistan سحر افغانستان
  • Azeri Azəri
  • Balkan Balkan
  • Kurdish سورانی
  • Kurmanci Kurmancî
  • Urdu اردو
  • İran
  • Azərbaycan
  • Türkiyə
  • Qafqaz
  • Qərbi Asia
  • Dünya
  • Elm, Mədəniyyət, İdman
  • Videolar
    • Xəbərlər
    • Özəl

COVID-19

  • Türkiyədə COVID-19-dan ölənlərin sayı 5 300-ə çatdı

    Türkiyədə COVID-19-dan ölənlərin sayı 5 300-ə çatdı

    İyul 09, 2020 22:12

    Bu gün Türkiyədə koronavirusdan 18 nəfər ölüb.

  • Antirekord: Azərbaycanda koronovirusdan bir gündə 10 nəfər öldü, 548 yeni yoluxma

    Antirekord: Azərbaycanda koronovirusdan bir gündə 10 nəfər öldü, 548 yeni yoluxma

    İyul 09, 2020 19:20

    Azərbaycan Respublikasında koronavirus (COVID-19) infeksiyasına 548 yeni yoluxma faktı qeydə alınıb, 491 nəfər müalicə olunaraq sağalıb və evə buraxılıb.

  • Rusiyadan 13 ölkəyə uçuşları bərpa etmək təklif olunur

    Rusiyadan 13 ölkəyə uçuşları bərpa etmək təklif olunur

    İyul 09, 2020 17:59

    Rusiyanın "Rospotrebnadzor" Federal Xidməti 13 ölkəyə uçuşları bərpa etməyi təklif edib.

  • İndoneziyada COVID-19 ilə bağlı rekord qeydə alındı

    İndoneziyada COVID-19 ilə bağlı rekord qeydə alındı

    İyul 09, 2020 17:46

    İndoneziyada son sutka ərzində 2 657 yeni koronavirusa yoluxma halı qeydə alınıb və bununla da epidemiyanın başlamasından bəri ilk dəfə gündəlik artım 2 mindən çox olub.

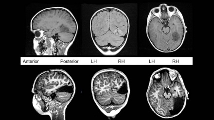
  • Koronavirusun insan beynindəki fəsadları aşkarlanıb

    Koronavirusun insan beynindəki fəsadları aşkarlanıb

    İyul 09, 2020 17:26

    London Universiteti Kollecinin (UCL) tədqiqatçıları COVID-19 üzündən beyin xəstəliklərinin artacağı qənaətinə gəliblər.

  • İranda 212 min nəfərdən çox koronavirus xəstəsi sağalıb

    İranda 212 min nəfərdən çox koronavirus xəstəsi sağalıb

    İyul 09, 2020 17:02

    İranın səhiyyə nazirliyinin sözçüsü ölkədə 212 min nəfərdən çox COVID-19 xəstəsinin sağalmasından xəbər verib.

  • Ermənistanda koronavirusa yoluxanların sayı 30 mini keçib, 535 nəfər ölüb

    Ermənistanda koronavirusa yoluxanların sayı 30 mini keçib, 535 nəfər ölüb

    İyul 09, 2020 11:31

    Ermənistanda son sutka ərzində daha 526 nəfər yeni növ koronavirus infeksiyasına (COVID-19) yoluxub.

  • Almaniyada koronavirusa yoluxanların sayı 197,7 mini ötdü

    Almaniyada koronavirusa yoluxanların sayı 197,7 mini ötdü

    İyul 09, 2020 10:47

    Son sutkada Almaniyada koronavirusa 442 yoluxma qeydə alınıb.

  • Koronavirusdan ölüm faizini azaldan üsullar tapıldı

    Koronavirusdan ölüm faizini azaldan üsullar tapıldı

    İyul 09, 2020 10:44

    Koronavirusla bağlı ikiqat analiz bu xəstəlikdən ölüm faizini azaldacaq.

  • Daşkənddə bir toyda 79 adam koronavirusa yoluxub

    Daşkənddə bir toyda 79 adam koronavirusa yoluxub

    İyul 09, 2020 10:37

    Özbəkistanın paytaxtı Daşkənddə toy edən bir ailə onlarla insanın COVID-19-a yoluxmasına səbəb olub.

Ətraflı

SON XƏBƏRLƏR

  • İranın Azərbaycandakı səfirliyi Bakı mediasının sorğusuna cavab verib
    İranın Azərbaycandakı səfirliyi Bakı mediasının sorğusuna cavab verib
    1 ay öncə
  • Pezeşkian: İrandakı son hadisələr Amerika və Sionist planı idi
  • İran xalqı güclü iştirakı ilə düşmənlərin məşum planlarına sarsıdıcı cavab verdi
  • Xalq şüurlu iştirakı ilə əcnəbilərin müdaxiləsinin qarşısını aldı
  • Həzrət Ayətullahuluzma Xameneinin xalqa təşəkkür mesajı
SAHAR TV

© 2022 SAHAR Universal Network. All Rights Reserved.

Xəbərlər
    İran
    Azərbaycan
    Türkiyə
    Qafqaz
    Qərbi Asia
    Dünya
    Elm, Mədəniyyət, İdman
    Videolar
Televiziya
    Özəl proqramlar
    Sosiyal - Mədəniyyət
    Dini
    İran serialları
    Siyasət, İqtisadiyyat
    İRAN CAZİBƏLƏRİ
    Haqqımızda
    TV PROQRAM
Radio
    Nur Səhifəsi
    Radio Verilişləri
    Arxiv
    Tezliklər
    TƏBRİZ radiosu
    ARAN radiosu
    Türkcə Pars Today
SAHAR
    Haqqımızda
    Bizimlə əlaqə
    Rss